Έγκλειστος προγόμφιος και γενειακό νεύρο.
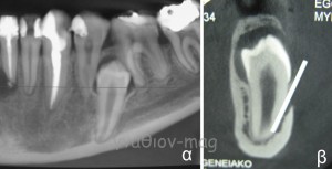
Συνήθως οι κάτω δεύτεροι έγκλειστοι προγόμφιοι όταν έρχονται σε ανατομική σχέση με το γενειακό τρήμα δεν καλύπτουν εκ ολοκλήρου τον οστικό πόρο στην περιοχή ανάδυσης του νεύρου, όπως συμβαίνει και στην περίπτωση της εικόνας 1.

Ωστόσο, στην περίπτωση της εικόνας 2, ο οστικός πόρος έχει πλήρως «αποφραχθεί» από τον έγκλειστο προγόμφιο και το νεύρο απωθούμενο προς τα κάτω τελικά πορεύεται προς το γενειακό τρήμα ανάμεσα στην οδοντική ρίζα και τον εξωτερικό φλοιό της κάτω γνάθου.

Η τελευταία περίπτωση είχε προσέλθει για συρίγγιο στην περιοχή, που οφειλόταν στον #36 (Εικόνα 3).

ΔΤ
Leave a Reply